内視鏡検査は当院が得意とする検査です。
当院では鎮静剤を使用し、患者様に負担の少ない検査を行っています。
※鎮静剤を使用した場合、車や自転車の運転はその日一日控えていただく必要があります。
また大腸カメラにおいては、小さいポリープであれば当日日帰り切除も可能です。
(ただし治療可能なサイズや個数に限りがあります。)
「最近、胃の調子が悪い」「家系もあって胃がんや大腸がんが気になる」「だけどカメラの検査は辛いと聞くから、やりたくない」このようなご不安をお持ちの方は是非当院にご相談下さい。
山口県は2022年のデータでは胃がん検診受診率 41.8% (46/47位)、大腸がん検診率 38.3% (46/47位)と全国最低レベルです。
現在胃がんや大腸がんは早期発見できれば命を奪う病気ではなく、完治が可能な病気となっていますが、このような状況ではこれらの医療発展の恩恵にはあずかってはいないと言わざるを得ません。
症状がなくても、是非一度検査をご検討ください。
〈胃内視鏡検査〉
| 1割 | 2割 | 3割 | |
| ・1206点 | 1200 | 2410 | 3620 |
| ・2506点+生検1ヶ所 | 2500 | 5010 | 7520 |
| ・3676点+生検2ヶ所 | 3670 | 7350 | 11030 |
〈大腸内視鏡検査〉
| 1割 | 2割 | 3割 | |
| ・1782点 | 1780 | 3560 | 5350 |
| ・3082点+生検1ヶ所 | 3080 | 6160 | 9250 |
| ・4252点+生検2ヶ所 | 4250 | 8500 | 12760 |
(+検査食1700円)
※検査代のみ。初診料・再診料などは含まれません。
※当院では電話での検査予約は行っておりません。大変お手数ですが一度ご来院頂き、状況の確認、検査の説明を行い、ご理解・ご承諾を頂いた上で検査予約を行います。
ご理解の程、よろしくお願いいたします。
当院では主に鼻から行う経鼻内視鏡検査を行っています。
スコープは直径1cm程度であり、口からの検査と比較し咽頭反射 (オエっとする)ことが少ない点が挙げられます。
またご不安が強い方には鎮静剤を使用し、寝ている間の検査が可能です。
当日は朝食を摂らずにご来院頂きます。
可能な限り見逃しがないよう、一つ一つ丁寧に観察を行うよう心がけています。
検査時間は10分程度です。
スコープの出し入れのみであれば数分で終わりますが、見逃しのない丁寧な観察を行うには10分程度は必要と私は考えています。
胃カメラでは様々な疾患が見つかりますが、検査の目的は主に以下のようなものです。
現在症状がある方に重要です。
特に「強い胃痛がある」「便が黒い」などの症状がある方は、急性期の出血性潰瘍等、重症であることもあります。
なるべく早い内に検査により診断、そしてその後の治療を検討することが勧められます。



当院検査で見つかった胃潰瘍、腰痛に対する痛み止め内服によるもの
次に腫瘍のお話しです。
よく診療中に、「症状がないから検査はしない」「症状が出てから考える」という言葉を耳にします。
昨今、様々な分野でがん治療の技術が進み、多くのがんで命が助かる場面が増えてきました。
しかし最も重要な点は「早期発見を行うこと」です。
胃がんで言えば早期発見できれば90%以上の割合で完治を目指すことができますが、進行した状態で見つかった場合、残念ながら命を救うことができない症例もあります。
また治療内容に関しても、進行するほど身体への負担が強いものとなります。
私はこれまで多くのがん患者様に向き合って参りました。
その上で、やはり定期的な内視鏡検査は必要であると実感しています。

早期で発見された胃癌、他院で内視鏡治療を行い根治

進行胃癌、外科手術により根治
ピロリ菌というものを聞いたことがありますでしょうか。
ピロリ菌は強力な胃酸の中で、傘をさして生存しているという不思議な細菌です。
以前、日本人は胃がんの死亡率が高く、恐ろしい病気という認識でした。
しかしピロリ菌の感染が胃がん発症に関与しており、除菌を行うことで胃がんの予防効果があることが分かりました (ただし完全に予防できるわけではありません)。
また急性胃潰瘍の原因の50%以上がピロリ菌感染者であり、除菌を行うことで胃潰瘍の予防もできます。
またピロリ菌感染が貧血やMALTリンパ腫、血小板減少性紫斑病など、多臓器の疾患にも関与しており、これらの予防、治療においてもやはり除菌治療は重要です。
当院医師はヘリコバクターピロリ専門医であり、安心して治療を受けていただけると思います。



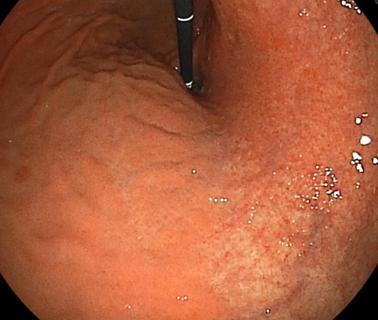
ピロリ菌陽性胃炎、粘膜の全体的な発赤や萎縮により血管が観察される

ピロリ陽性胃炎、同様に発赤と粘膜付着が強い
胃カメラは咽頭反射に個人差があるため、人によって苦痛の度合いが変わります。
また施行者の丁寧な観察が重要です。
症状がある場合や検査に不安がある方は、一度当院にご連絡ください。
大腸カメラは胃カメラとは違い、事前に下剤を使用した準備 (前処置)が必要になるため、時間やエネルギーという点でより患者さんの負担が強い検査です。
また腸の形 (長さやカーブ、お腹の手術の影響など)により、検査中に痛みなどの苦痛が生じる可能性があります。
当院ではより苦痛が生じにくいスコープや装置 (CO2送気など)を使用しています。
また胃カメラ同様にご不安が強い方は鎮静剤を使用した検査も可能です (初回検査の方は腸の長さや形がわからないため、特にお勧めいたします)。
大腸カメラでは主に以下のような疾患が見つかります。
大腸ポリープというイボのような病変が見つかることがあります。
小さい病変の多くが腺腫と言われる良性の病変ですが、徐々にサイズが大きくなり1cm以上になりますと大腸がんとなる可能性が高くなります。
よって、サイズの小さい内に治療することが、大腸がんの予防にもつながります。
当院では出血や腹痛 (腹膜炎)などの合併症が少ない治療法 (コールドスネアポリペクトミー)により、検査同日の日帰り治療も行っています。
ご希望の方はお申し出ください。

良性病変、当院で切除治療を行い根治


良性病変、他院で切除治療を行い根治

良性病変、当院で切除治療を行い根治
日頃からお尻から血が出る (血便)が見られる方や検便検査で要精密検査となられた方は、カメラにより大腸がんの有無を確認することが重要です。
残念ながら進行し過ぎた癌が見つかった場合、命を奪う結果となることもあります。
しかし進行度により治療は異なりますが、やはりなるべく早期に発見することで根治が目指せる病気です。
基本的に「がんが疑われる病変」に対しは、当院では治療を行っておりません。
理由はコールドスネアポリペクトミーでは根治しているかどうかの判断が難しくなり、その後の方針決定が困難となる可能性があるためです。
もし大腸がんが見つかった場合、なるべく早く治療可能な総合病院にご紹介させていただきます。


早期発見された大腸がん、内視鏡治療により根治
同じ病変、特殊光(BLI観察)による精密診断
下痢や血便、腹痛などの症状が続いている場合、腸炎などの異常が見つかることがあります。
これには様々なものがあり、感染性腸炎、虚血性腸炎、炎症性腸疾患 (潰瘍性大腸炎、クローン病)、Microscopic colitisなど原因は多岐に亘ります。
特に血便は痔の場合を除いて、早急な治療を要するものが多いため、早めの受診をご検討ください。


血便あり受診、虚血性腸炎と診断。当院治療にて根治
大腸カメラは準備が必要な検査であり、決して楽なものではありません。
経験談などを聞いて、検査に不安が強い方も多いと思います。
ご相談だけでも結構ですので、気になる症状などがある場合はいつでもご連絡ください。